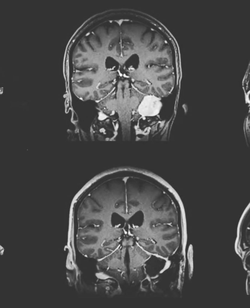
La reconocida locutora y animadora venezolana Erika de la Vega, fue sometida recientemente a una craneotomía, un tipo de intervención quirúrgica donde se le extirpó un tumor benigno.
Así lo informó la animadora en sus redes socialles, sonde además indicó que esta operación se produjo luego de que hace meses le descubrieran un tumor, que fue hallado tras una resonancia magnética, como parte de su chequeo anual.
Resaltó que a pesar de que el quiste no resultó peligroso, decidió su extirpación para evitar complicaciones de salud en el futuro.
“Apenas supe el diagnóstico cuadré la cirugía y ocupé mis días lo que más pude para que la mente no me jugara en contra, para detener las búsquedas en Google y poder controlar mis nervios y los apocalipsis del futuro“, señaló.
La conductora del recordado programa televisivo de humor Ni tan tarde se encuentra en su hogar recuperándose de la segunda operación que le realizan en el 2023, luego de que en julio ingresó al quirófano por una ruptura de ligamento en su pierna derecha.
Escrito por: Emmanuel Chaparro



